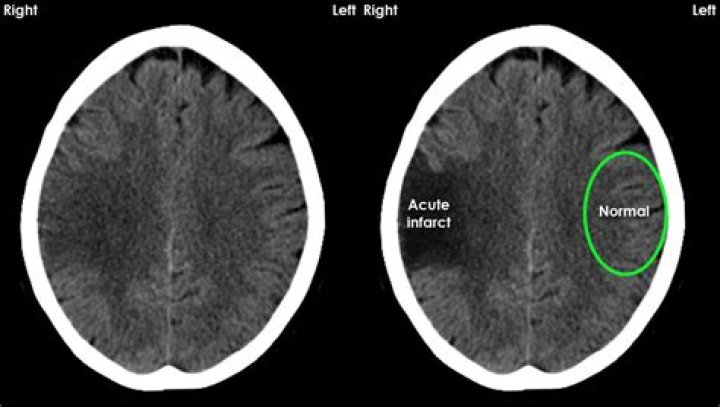
Each radiologist classified patients into two groups: “no acute findings” and “acute findings”. An acute finding was defined as any CT abnormality explain...
Artificial nails such as acrylic, dip powder, and some gel and shellac nails use additional chemicals called acrylates that are known to cause allergies i...
Open Windows search by pressing Windows Key + Q. Type in "printer." Select Printers & Scanners. Hit Add a printer or scanner....Choose The printer tha...
Yes. A seller can back out of an accepted offer or before closing, as long as there are no specific clauses that state otherwise. That being said, whether...
The bubbles of carbon dioxide in carbonated beverages aren't buoyant in a weightless environment, so they remain randomly distributed throughout the ...
Lip lines are best addressed with (1) Filler, (2) Botox® or Dysport® and (3) Resurfacing. Wrinkle formation is a complex interaction of structural tissue ...
This type of leakage is known as stress incontinence and it is common in women. A woman's pelvic floor muscles normally tighten to prevent urine leak...
Results show that Eocene Antarctica and Australia sup- ported large and dense forests, and that the Antarctic fauna was comprised of many species of verte...
Splenic atrophy can occur in coeliac disease and specifically affects the size of the marginal zone and white pulp B-lymphocyte compartment [62], possibly...
Start holding the warped fungus on a stick in your hand.Start holding the warped fungus on a stick in your hand. The strider will begin to follow the warp...